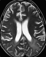
A case of chronic RRMS shows diffuse atrophy with periventricular white matter hyperintensity
MR spectroscopy from left parieto-occipital white matter, which has the maximum hyperintensity, shows, as expected raised choline, decreased NAA and presence of lactate, i.e changes of demyelination and tissue loss
MRS from right parieto-occipital white matter also shows decreased NAA/Cho ratio and raised lactate


However, noteworthy is the presence of similar changes on spectroscopy in the normal appearing areas too


However, noteworthy is the presence of similar changes on spectroscopy in the normal appearing areas too


8:21:00 PM
Dr Subhash Kumar, MBBS, MD, DM





Posted in: