87 years old male with Gradually worsening bladder symptoms—unable to hold urine, Emotional lability,Occasional falls-unsteadiness while walking since last 10 months
Diagnosis: Normal Pressure hydrocephalus
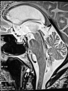
Findings: Triventricular dilatation out of proportion to atrophy with periaqueductal hyperintensity, large jet of flow void in the aqueduct and fourth ventricle, periventricular hyperintensity, upward ballooning of corpus callosum, posterior gyri opposed aginst the calvarium, CSf pocket in medial sulcus
Pre CSF tap CSF flow study result through aqueduct shows peak veocity of 16.92cm/sec and stroke volume of 111 mirolt/sec while post CSF tap (70 ml) CSF flow study sows peak velocity of 7.79 cm/sec and stroke volume of 8 microlt/sec.


8:09:00 PM
Dr Subhash Kumar, MBBS, MD, DM
Posted in: